Glaucoma is a group of eye diseases that damage the optic nerve, the pathway connecting your eye to your brain. This damage is often caused by increased pressure inside the eye. If left untreated, glaucoma can lead to permanent vision loss and even blindness.
We have state-of-the-art facilities required for the diagnosis and management of glaucoma. We at The Eye Foundation provides the best glaucoma treatment and its related surgeries at an affordable cost
Initial workup includes measurement of intraocular pressure (IOP) with help of Goldmann’s Applanation tonometer. Usually, IOP for normal individuals should be <21 mmHg. Any values more than that warrants further glaucoma evaluation for glaucoma surgery.
Measurement of central corneal thickness is mandatory before starting the patient on medications. It is done using Pachymeter which measures corneal thickness and gives us adjusted intraocular pressure.
The angle of the anterior or iritis chamber is assessed by gonioscopy lens and if found occludable and left untreated can lead to an angle-closure attack. This is further confirmed by Ultrasound BioMicroscopy (UBM) and if the angles are confirmed to be narrow, the patient is advised Nd: YAG Laser iridotomy in which a laser beam is used to open up the blocked passage. It is painless and is done on an outpatient basis.
Visual field analysis is an integral part of glaucoma management. We have Zeiss Humphrey’s Field analyzer which allows us to interpret visual fields, locate non seeing areas of patients and to assess progression and plan or change medications accordingly.
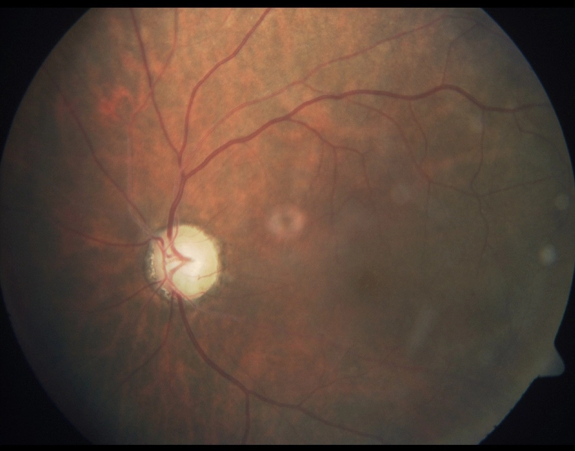
Stereoscopic photographs of disc for documentation and progression are taken on Heidelberg fundus camera.
Optical Coherence Tomography (OCT), the latest advancement, gives us an analysis of optic nerve head and retinal nerve fiber layer, the parts of the eye which are first affected in glaucoma. We have Optovue Spectral Domain OCT which gives high resolution, 3D images of retina and optic nerve to assess the severity of damage and it also measures progression of glaucoma.
Although medical management is the mainstay of glaucoma treatment and medications, some patients with advanced glaucoma, with co-existing cataracts, not controlled by medical therapy, for such patients glaucoma laser surgery is the treatment of choice.
At The Eye Foundation, we offer a range of personalized treatment options to manage glaucoma and preserve your vision. Our experienced ophthalmologists will work with you to create a treatment plan that best suits your specific needs and preferences. Here are some of the options we offer:
Eye drops are often the first line of defense, and understanding their types and benefits is key to your treatment journey.
What types of eye drops can help glaucoma?
Several types of eye drops work in different ways to lower eye pressure:
1. Prostaglandin Analogs:Laser treatment, offered by The Eye Foundation, can be a valuable tool in your treatment plan. But do you need it? Let's explore this option together.
Do I need laser treatment for my glaucoma?Laser treatment aims to improve drainage of aqueous humor, the fluid within your eye, thus reducing pressure. Several types of laser procedures exist, each with its benefits and limitations:
Whether laser treatment is right for you depends on several factors:
The specific laser procedure used depends on the type of glaucoma you have. Here's a general overview:
1. Preparation:
Depending on the specific technique, the laser beam:
Understanding the recovery timeline can help you plan accordingly.
Day 1:Glaucoma implant surgery is usually an outpatient procedure, meaning you can go home the same day. However, your vision may be blurry for the first few days. Recovery typically takes several weeks, with regular follow-up appointments scheduled to monitor IOP and the implant's function.
What is glaucoma implant surgery?
Glaucoma implant surgery is a procedure used to lower IOP when other treatments, such as eye drops or laser procedures, haven't been successful in controlling the pressure. It involves placing a tiny drainage device, also known as a shunt, in the eye to create a new pathway for excess fluid to flow out. This helps to reduce IOP and protect the optic nerve from further damage.
What is minimally invasive glaucoma surgery (MIGS)?MIGS offers a promising advancement in glaucoma treatment. Unlike traditional glaucoma surgeries, which involve larger incisions and potentially longer recovery times, MIGS procedures utilize microscopic instruments and smaller incisions to address the issue of elevated IOP. This leads to several potential benefits:
The Eye Foundation is a trusted provider of comprehensive glaucoma treatment, including surgery. Their skilled ophthalmologists will:
Glaucoma is a common eye condition in which fluid pressure inside the eye rises to a level higher than that is healthy for that eye, thereby causing damage to optic nerve leading to irreversible loss of vision and even blindness.
NORMAL
MILD
MODERATE
ADVANCED
It could be open angle type which is usually asymptomatic and hence gets diagnosed only in later stages. In closed angle type, the eye pressure rises due to block in outflow pathway.
It is usually asymptomatic, commonly called as” silent theft. ”It depends on type of glaucoma. Open angle glaucoma do not cause any symptoms, some can compliant of haloes and defective side vision. Acute angle closure glaucoma can cause severe headache, eye pain, nausea, vomiting, blurred vision, haloes and redness of eyes.
Anyone can develop glaucoma after 40 years. If there is a strong family history of glaucoma, they are at high risk. Such patients should get it checked annually.
Once Glaucoma is confirmed, your doctor prescribes medications so that you intra ocular pressure is under control. You must be very compliant with medications as glaucoma is mostly managed by medications. Laser is done for closed angles. Surgical treatment is for those with advanced glaucoma and in those not controlled by medications and in congenital glaucoma.
No. It is a simple outpatient procedure, requires no injections. It uses laser to create a passage for fluid to egress so that your eye pressure is under control.
During your visit, you will first be taken through a routine checkup of your refraction by a qualified team of optometrist. A routine glaucoma work up includes measurement of intra ocular pressure, corneal thickness and angle evaluation. If your angles are narrow, you would require a prophylactic YAG peripheral iridotomy, which is done on same day. If there is any suspicion of glaucoma by looking at your optic nerve, you might be asked to do further tests like visual fields and OCT. Following dilatation, it might be difficult to drive for several hours. Glaucoma treatment cost is made economical to benefit every patient at our hospital.
Some medications can cause dry eyes. Beta blockers are contra indicated in cardiac patients and asthmatics. Most of the medications are to be avoided in pregnancy and lactation unless benefits exceed the risk.
Glaucoma Helpline: +91-9442217796
Email: glaucoma@theeyefoundation.com
Coming from Canada, I did my Lasik surgery here. World class facilities, Staffs and doctors are accommodating and caring. Thanks to Dr Ramamurthy and Rajeev, I feel confident with my vision without glasses. Much recommended hospital. They diagnosed initial stage of glaucoma for my mother and did the best treatment. Very well equipped facilities.
I have been visiting this center for last more than two years and also went thru surgery for glaucoma and cataract. The team is very supportive and efficient. I feel quite comfortable and well taken care off.
Thanks to Dr. Chitra ramamurthy. Glaucoma patient of her. Doctor gives the best care and she clearly explained medications. Thanks for the best service. We pray god to continue the service.
| S.No | Centers | Status |
|---|---|---|
| 1 | Glaucoma Treatment in Coimbatore | Available |
| 2 | Glaucoma Treatment in Pollachi | Available |
| 3 | Glaucoma Treatment in Erode | Available |
| 4 | Glaucoma Treatment in Salem | Available |
| 5 | Glaucoma Treatment in Mettupalayam | Available |
| 6 | Glaucoma Treatment in Madurai | Available |
| 7 | Glaucoma Treatment in Tirupur | Available |
| 8 | Glaucoma Treatment in Tirunelveli | Available |
| 9 | Glaucoma Treatment in Ooty | Available |
| 10 | Glaucoma Treatment in Bangalore | Available |
| 11 | Glaucoma Treatment in Bellandur | Available |
| 12 | Glaucoma Treatment in Kochi | Available |
| 13 | Glaucoma Treatment in Malappuram | Available |
| 14 | Glaucoma Treatment in Trichy | Available |
| 15 | Glaucoma Treatment in Palakkad | Available |
| 16 | Glaucoma Treatment in Whitefield | Available |
| 17 | Glaucoma Treatment in Tuticorin | Available |
| 18 | Glaucoma Treatment in Coonoor | Available |
| 19 | Glaucoma Treatment in kozhikode | Available |
| 20 | Glaucoma Treatment in Vellore | Available |
| 21 | Cataract Surgery in Hosur | Available |
| 22 | Cataract Surgery in Chennai - Vadapalani | Available |
| 23 | Cataract Surgery in Mundakayam | Available |
| 24 | Cataract Surgery in Thrissur | Available |
| 25 | Cataract Surgery in Vellore City Centre | Available |